стоматологическая клиника
МЕДИДЕНТ
8 (3473) 20 30 55
Мы работаем:
с 09:00 до 19:00
подробнее:




респ. Башкортостан
г. Стерлитамак
ул. Худайбердина 134
Стоматологическая клиника ООО "Медидент"
453121 республика Башкортостан г. Стерлитамак
ул. Худайбердина 134 тел: 8 (3473) 20 30 55

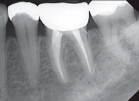
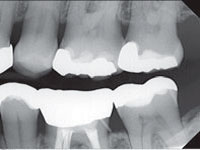
Цифровая  компьютерная   диагностика.
В нашей работе мы используем радиовизиограф HELIODENTPLUS – это интраоральная рентгенографическая система новейшего поколения немецкой фирмы «Sirona» дающая  высокое качество изображения при минимальной дозе облучения, что позволяет нам проконтролировать качество проведенного лечения.
В отличие от рентгенографии при радиовизиографии рентгеновские лучи попадают не на пленку, а на датчик, состоящий из множества детекторов. В результате воздействия ионизирующего излучения в каждом детекторе возникает определенной величины заряд. Компьютер, последовательно опрашивая детекторы, собирает информацию со всей площади датчика и формирует на экране монитора изображение, яркость све¬чения каждой точки (пиксели) которого соответствует величине заряда на детекторе, расположенном в дан¬ном конкретном месте. После того как компьютер про¬ведет опрос детектора, заряд на нем исчезает и датчик подготавливается к следующему экспонированию. Снижена лучевая нагрузка на пациента в 10—20 раз, или на 90—95%, чем при рентгене. Именно во столько раз детекторы современного  радиовизиографа  более чувствительны к рентгеновским лучам, чем обычная пленка.
Снимок можно распечатать на принтере или сохранить в электронной карте пациента для последующих приёмов.
Рентгеновские изображения, полученные на HELIODENT
PLUS, характеризуются высокой детализацией и контрастностью, что позволяет использовать их по широкому ряду показаний.
Рентгенологические методы исследования являются незаменимыми в качестве диагностического инструмента. На сегодняшний день многие врачи используют далеко не все возможности рентгеновского исследования. А между тем это позволяет не только верно планировать лечение, но и достичь стабильных функциональных и эстетических результатов.
О возможных противопоказаниях необходимо проконсультироваться у специалиста.