Звоните и записывайтесь на консультацию прямо сейчас, сохраните свои зубы здоровыми!
8 (3473) 20 30 55
Некариозные поражения зубов.
Некариозные поражения твердых тканей зубов подразделяют на две большие группы:
Как говорили древние, предупрежден, значит, вооружен, поэтому давайте познакомимся с ними поближе.
Некариозные поражения, возникающие до прорезывания зубов:
1. Возникающие до прорезывания зубов. К ним относятся гипоплазия (местная и системная), гиперплазия, флюороз, различные аномалии формы и развития. Эти поражения зачастую носят наследственный характер либо обусловлены неблагоприятными воздействиями (окружающая среда, некоторые виды лекарств, заболевания матери в период беременности) на зачатки зубов.
2. Возникающие после прорезывания зубов. Сюда входят: клиновидный дефект, эрозия, различные виды некрозов, патологическая стираемость, гиперестезия и травмы зубов. Они развиваются вследствие воздействия на зубы механических, химических, травматических факторов.
Гипоплазия эмали (Enamelhypoplasia) - это недоразвитие самого поверхностного слоя зуба. Эмаль покрывает коронковую часть зуба, ту, что является наружной частью. Основной функцией этого прочного слоя является защита от воздействия как механических, так и химических повреждений.
Гипоплазия возникает под влиянием нарушения минерального и белкового обмена в организме плода или ребенка (системная гипоплазия) или действующих местно на зачатки зуба причин (местная гипоплазия). Гипоплазия возникает в организме плода под влиянием перенесенных заболеваний, нарушенного обмена веществ у беременной женщины или в организме ребенка под влиянием перенесенных заболеваний или нарушения питания. Чаще гипоплазия временных зубов возникает при заболеваниях ребенка в первые недели и месяцы его жизни, что отражается на формировании временных клыков и моляров. Местная гипоплазия развивается в результате травмы фолликула развивающегося зуба либо влияния воспалительного процесса на эту область. Это могут быть последствия осложненного кариеса.
Патологическая и физиологическая стираемость.
- При первой степени (легкая форма поражения) на поверхности эмали единичных зубов появляются небольшие молочно-белые пятна или полосы (штриховая и пятнистая).
- При второй степени (поражение средней степени тяжести) наряду с меловидными пятнами и полосами появляются пигментированные пятна желтого или коричневого цвета (меловидно-крапчатая).
- При третьей (тяжелой форме поражения) степени поражается большая часть коронки зуба. Выраженная пигментация сочетается со структурными нарушениями твердых тканей зуба. Коронка зуба деформируется, эмаль легко стирается, скалывается, зуб может стираться до края десны (эрозивная и деструктивная).
Проявляется в виде пятен, чашеобразных углублений различной величины и формы или линейных бороздок той или иной глубины и ширины, опоясывающих зуб и расположенных параллельно режущему краю или жевательной поверхности. Поверхность пятна гладкая, может быть блестящей или тусклой, что зависит от того, в каком периоде образования эмали была нарушена ее минерализация.
Если поверхность пятна гладкая и блестящая, это свидетельствует о кратковременном и незначительном нарушении структуры эмали в виде очаговой деминерализации в подповерхностном слое.
Если пятно тусклое, с измененной окраской и шероховатое, то процесс эмалеобразования был нарушен в тот период, когда развитие эмали уже заканчивалось.
Нередко гипоплазия эмали проявляется в виде чашеобразных углублений округлой или овальной формы. Размер и глубина таких дефектов различны, их количество неодинаково. На дне углублений эмаль истончена, и через неё может просвечивать желтоватого оттенка дентин. Иногда эмаль отсутствует (аплазия).
По степени тяжести различают три формы поражения зубов флюорозом:
Своевременная лечебная помощь при гипоплазии имеет не только эстетическое, но и психологическое значение. В последнее время большую популярность приобрели препараты глубокого фторирования. Такие курсы лечения должны проводиться 2—3 раза в год с постоянным контролем за ходом лечения. Устранение гипоплазированного участка возможно с помощью реставрации современными, композитными материалами. При сильном истончении режущего края и аплазии эмали на буграх премоляров и моляров показано восстановление гибридными светоотверждаемыми композитами либо покрытие таких зубов искусственными коронками.
В любом случае, пациентам с гипоплазией эмали требуется постоянное наблюдение у врача-стоматолога, так как недоразвитая эмаль в большей степени подвержена поражению кариесом.
Гиперплазия, или избыточное образования тканей зуба при его развитии, имеет вид эмалевых «капель» или жемчужин. Эмалевые «капли» чаще всего локализуются в пришеечной области.
Размер такой «капли» иногда достигает 5 мм в диаметре, а под слоем эмали может обнаруживаться дентин. Некоторые эмалевые «капли» имеют внутри небольшие полости, заполненные пульпой.
Клиническая картина при гиперплазии эмали не выражена. Если пациент не предъявляет жалоб на эстетический дефект, лечения не требуется.
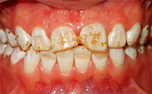
Флюороз зубов (эндемический флюороз) – некариозное поражение зубов, наблюдающееся у лиц (в основном – у детей), долго проживающих в местности с повышенным содержанием фтора в воде и почве (более 1,5 мг/л). Фтор — очень полезный элемент для укрепления эмали зубов. Однако в высоких концентрациях он ослабляет ее и делает хрупкой. По мнению многих ученых, флюороз – это своеобразная форма гипоплазии.
Пятна при флюорозе стационарные, плотные, с блестящей поверхностью, безболезненные и гладкие при зондировании. Как правило, поражаются симметричные зубы (например, центральные резцы). При флюорозе (в отличие от гипоплазии) почти не встречается кариес, за счет того, что в пятнах происходит отложение фторапатита.
Лечение флюороза. На ранних стадиях (изменение цвета эмали) рекомендуется отбеливание с последующей реминерализующей терапией, внутрь назначают специальные препараты. Детям следует употреблять в пищу больше белков, молока, фруктов, овощей, ограничить употребление жирной пищи. В зимнее время назначают поливитамины, ультрафиолетовое облучение (искусственный загар). Важно соблюдать правильный режим дня, проводить общее закаливание организма. При флюорозе средней и тяжелой степеней происходит нарушение целостности эмали зубов. Отбеливание зубов при этих формах флюороза менее эффективно. В таких случаях применяют прямые реставрации пораженных зубов композитами светового отверждения. К эстетическим конструкциям также относятся керамические виниры. В случаях тяжелого поражения тканей зуба показаны ортопедические методы лечения – восстановление разрушенных зубов при помощи искусственных коронок.
Лечение эрозий - процесс долговременный, включающий в себя комплекс мер для устранения пигментации, реминерализирующую терапию с последующим пломбированием композиционными или стеклоиономерными материалами.
Эрозия твердых тканей зуба.
Некариозные поражения, возникающие после прорезывания зубов:
Гиперплазия эмали.
Флюороз зубов.
Клиновидный дефект — это уменьшение твердых тканей зуба на внешней поверхности, из-за чего образуется углубление, похожее на клин. Дефект обычно возникает у шеек зубов, на щечных и губных поверхностях. Установлено, что клиновидный дефект чаще встречается у людей среднего и пожилого возраста. Хотя в последнее время эта патология сильно помолодела.
Это прогрессирующее заболевание, которое иногда заканчивается развитием пришеечного кариеса, возникающего на месте клиновидного дефекта, а в сложных случаях — сколом коронковой части зуба.
- Аномальный прикус (особенно прямой и глубокий прикусы, ведущие к ускоренному стиранию зубной эмали и обнажению дентина )
- Перегрузка оставшихся зубов после утраты некоторых зубов
- Некорректное протезирование зубов
- Бруксизм (скрежетание зубами)
- Негативные издержки некоторых профессий (например, при непосредственной работе пациента с кислотой или в помещениях с избытком в воздухе механических частиц, способных оказать на зуб абразивное воздействие)
- Недостаточная твердость зубной эмали из-за некоторых заболеваний (флюороз, гипоплазия и др.)
- Наследственные нарушения в развитии зубов
В течение жизни у любого человека происходит естественное физиологическое стирание тканей зуба. Но в некоторых случаях развивается патологическая или повышенная стираемость зубов.
Патологическая стираемость зубов может быть вызвана следующими причинами:
Основные симптомы и некоторые последствия:
Лечение клиновидных дефектов может быть, общим и местным.
Общее лечение предусматривает назначение внутрь макроэлементов и витаминов с целью укрепления структуры зубов и снятия повышенной чувствительности пораженных шеек (гиперестезии).
Местное лечение. При клиновидных дефектах, глубина которых превышает 2 мм, производят пломбирование. В отдельных случаях при опасности облома коронки зуба отдают предпочтение изготовлению искусственных коронок. В нашей Клинике успешно применяются несколько современных методик, позволяющих полностью купировать процесс и вернуть первоначальный внешний вид зубам.

С развитием заболевания проявляется еще один симптом эрозии - повышение болевой чувствительности зуба. Боль может появиться при чистке зубов, от холодного воздуха, от химических раздражителей. Выделяют две стадии эрозии: активную (когда болевая чувствительность особенно выражена, а процесс разрушения эмали протекает стремительно) и стабилизированную. При стабилизированной стадии чувствительность зубов слабо выражена, а разрушение эмали протекает медленно.
Поражение зубов эрозией характеризуется длительным течением - до 10-15 лет и наблюдается преимущественно у лиц среднего возраста, но в настоящее время в связи с воздействием неблагоприятных экологических факторов, а также с употреблением некоторых довольно-таки агрессивных для эмали напитков, увеличивается число случаев эрозии эмали зубов у молодых людей (18-25 лет).
Причины возникновения эрозий можно разделить на химические, механические и эндокринные. Считается, что основным фактором, вызывающим образование эрозии, является употреблением большого количества плодов цитрусовых, их соков, яблочного сока, газированных сладких напитков, маринованных продуктов, моченых овощей, а также некоторых лекарств (например, лекарства от астмы, большие количества витамина С). Например, вегетарианские диеты и диеты, в которых фрукты составляют больше 60% процентов рациона питания, также делают зубы более восприимчивыми к эрозии эмали. Также некоторые хронические заболевания желудочно-кишечного тракта, связанные с забросом (рефлюксом) желудочного сока в полость рта, могут способствовать развитию и прогрессированию эрозий на зубах. Еще одной причиной эрозии называют агрессивную чистку зубов зубными порошками, отбеливающими или другими абразивными зубными пастами. Важную роль в развитии эрозии твердых тканей зубов играют эндокринные нарушения и, в частности, гиперфункция щитовидной железы.
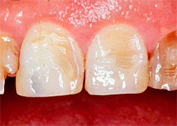
Эрозия эмали: на вестибулярных поверхностях зубов определяются дефекты эмали блюдцевидной формы.
Эрозия - прогрессирующая убыль тканей зубов (эмали и дентина). Она представляет собой овальный или округлый дефект эмали, расположенный в наиболее выпуклой части внешней поверхности зуба. Дно эрозии обычно гладкое, блестящее и твердое. В первую очередь поражаются резцы верхней челюсти, клыки, реже премоляры. Практически не затрагиваются заболеванием резцы нижней челюсти и моляры. Глубина эрозий неодинакова на различных зубах, что зависит от времени ее возникновения. Она больше на тех зубах, где раньше появилась.
Методика лечения в каждом случае подбирается индивидуально в зависимости от причин, стадии, характера заболевания и особенностей организма пациента. Прежде чем приступить к лечению патологической стираемости зубов проводится сошлифовывание острых краев зубов с целью остановить или предотвратить возможные травмы языка и слизистой оболочки щек, губ.
При данной патологии необходим рациональный и индивидуальный подход, позволяющий подобрать оптимальный план лечения. В первую очередь всесторонняя диагностика, с целью выявления причин и уже развившихся осложнений. Необходимо восстановить утраченную высоту прикуса, взаимоотношения в височно-нижнечелюстном суставе, размеры и форму зубов, эстетику улыбки. Очень важно сотрудничество врача и пациента, последовательное соблюдение плана лечения. В нашей Клинике накоплен достаточный опыт успешного лечения данной патологии.
- Искажение и разрушение поверхности зубов, в результате чего образуются острые края зубной эмали, которые могут травмировать язык, а также слизистую оболочку щек и губ
- Изменение высоты зубов (при дальнейшем развитии заболевания), ведущее к нарушению прикуса и искажению формы нижней части лица( уменьшению высоты нижнего отдела лица, что приводит к раннему развитию морщин, выдвижению нижней челюсти вперёд)
- Изменение положения височно-нижнечелюстного сустава, которое может вызвать разного рода травмы челюсти
- Повышенная чувствительность зубов к температурным, химическим и механическим раздражителям (горячая, холодная, кислая, сладкая пища и т.д.)
О возможных противопоказаниях необходимо проконсультироваться у специалиста.