Протезирование зубов на данный момент подразделяют на две основные группы: съемное протезирование и несъемное протезирование.
С нарастающей популярностью у пациентов нашей Клинике пользуются конструкции из оксида циркония. Это по-настоящему совершенные работы, каждая из которых произведение искусства! Точность изготовления, с учётом малейших индивидуальных особенностей, гарантия безупречного результата! Из этого материала могут быть изготовлены как коронки, так и виниры, так и конструкции на имплантатах.
Ниже мы расскажем об особенностях этого материала на примере коронок.
Безметалловые коронки на основе оксида циркония (ZrO2 - диоксида циркония), по технологии CAD/CAM — лучшее решение для пациентов с высокими требованиями к эстетике! Диоксид циркония в качестве материала для каркасов обладает самой высокой степенью биологической совместимости и становится сегодня материалом номер один в стоматологии.
В современном представлении ортопедическая стоматология — это область клинической медицины, изучающая этиологию и патогенез болезней, аномалий, деформаций и повреждений зубов, челюстей и других органов полости рта и челюстно-лицевой области, разрабатывающая методы их диагностики, лечения и профилактики.
1. Оксид циркония.
2. Металлокерамические коронки и мостовидные протезы.
Несъемное протезирование.
Высокая точность изготовления.
По слепку (при этом применяются только специальные слепочные массы, имеющие определённые характеристики), снятому врачом, изготавливается модель, которая сканируется лазером. Далее следует этап компьютерного моделирования будущей коронки. Затем колпачок вытачивается на компьютерном фрезерном станке из блока оксида циркония.
Полная автоматизация процесса исключает возможность любой ошибки, так как система регистрирует даже микронные отклонения. Так достигается идеальная точность прилегания коронки, что гарантирует высокую эстетику, долговечность и отсутствие воспалений.
Высокая эстетичность и естественность.
Каркас из оксида циркония — белый, что позволяет избежать эффекта «темного края» в области десны.
В отличие от металла оксид циркония обладает естественной прозрачностью. Коронки на основе диоксида циркония пропускают свет и за счет этого выглядят абсолютно естественно!
Для облицовки каркаса используется высокопрочная керамика Noritake (Япония), обладающая светопроницаемостью, полупрозрачностью, широкой гаммой цветовых оттенков. Это позволяет создать коронки, неотличимые от естественных зубов.
Биосовместимость.
Оксид циркония является гипоаллергенным материалом, и в вопросе биосовместимости значительно превосходит любые сплавы, включая золото. Благоприятные клинические результаты подтверждены гистологическими исследованими: после полугодового контакта с керамикой на основе оксида циркония в полости рта не выявлено никаких патологических изменений.
Оксид циркония обладает низким коэффициентом теплопроводности, т.е. не реагирует на горячую или слишком холодную пищу. Что позволяет не депульпировать зубы под эти конструкции.
Легкость и Прочность.
Толщина каркаса из оксида циркония — всего 0.4 мм. Это позволяет проводить минимальную обработку зубов.
Каркас из оксида циркония вдвое легче металлического.
В отличие от металла, оксид циркония не деформируется со временем.
Прочность оксида циркония не уступает прочности металла. Новые коронки прослужат Вам долго!
Высокая прочность позволяет создавать не только одиночные безметалловые коронки, но и протяженные мостовидные протезы, и даже устанавливать такие коронки на имплантаты.
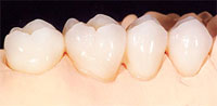
В нашей Клинике применяется несколько видов металлокерамических коронок, в зависимости от производителя керамической массы, методики изготовления и индивидуальных особенностей и нюансов клинической ситуации. От этого напрямую зависит стоимость работы. В любом случае надёжность и качество будут одинаковые. Всю информацию Вы сможете получить на бесплатной консультации, подобрав вместе с доктором оптимальный вариант. Ниже приводиться основная информация об этом виде несъёмного протезирования.
МЕТАЛЛОКЕРАМИКА – это цельнолитой металлический каркас, облицованный сверху керамикой. Благодаря наличию первого обеспечивается высокая прочность, второе же делает конструкцию максимально привлекательной.
Какие же преимущества керамики.
1. Долговечность.
Металлокерамика является высокоточной конструкцией и очень плотно одевается на опорный зуб. Следовательно, даже микроорганизмы, несмотря на свои минимальные размеры не могут попасть под нее. Это и является основой долговечности конструкции. В среднем срок службы металлокерамики колеблется в пределах 10-12 лет, при этом она никак внешне не изменяется : не темнеет, сохраняет форму.
2. Отличная эстетика.
Благодаря изобилию цветовых оттенков и красок, можно достичь великолепного результата. Металлокерамические зубы внешне абсолютно идентичны естественным, что позволяет чувствовать себя уверенно.
3. Совершенная функция.
Если вы обратите внимание, ваши зубы не являются плоскими, на их поверхности расположено множество бугорков и бороздок. Именно благодаря этому мы и можем пережёвывать пищу. Металлокерамические коронки полностью имитируют эту поверхность, так что вам без труда удастся пережевать любимую пищу. Запретов почти нет, вот только орехи и кости грызть не желательно.
4. Прочность.
Металлокерамика является достаточно прочной конструкцией. Это возможно благодаря наличию высокоточного цельнолитого каркаса внутри. В нашей Клинике возможно использование любых каркасов из разных материалов.
5. Безвредность.
Керамика материал абсолютно безвредный. В этом направлении уже долгие годы работают научные сотрудники многих институтов, никаких нежелательных воздействий на организм найдено не было.. Мы просто не ощущаем фарфор, он биоинертен.
6. Быстрое привыкание.
Большинство пациентов уже через пару часов после протезирования забывают о том, что они были у стоматолога. Металлокерамика - это комфорт и удобство.
7. Экономичность.
Возможность длительного использования данной конструкции позволяет говорить о рациональном вложении средств. Наша Клиника, используя современные материалы ведущих производителей, грамотный подход и собственную зуботехнические лабораторию, гарантирует высокое качество работ. Металлокерамическая конструкция, не изменяя цвет и форму будет долго Вас радовать,приносить удовольствие. Всё выше перечисленное имеет смысл лишь в случае адекватного и профессионального изготовления конструкции.

3. Микропротезирование.
При незначительном изменении зубов применяют такой метод как микропротезирование. Для этого используют керамические виниры, керамические вкладки, а также вкладки культевые. Зубные вкладки (зубные вставки) чрезвычайно широко используются в ортопедической стоматологии. В качестве материалов для вкладок наиболее часто используются металлы и их сплавы (золото 916 пробы, сплавы платины, серебряно-палладиевые сплавы), а также фарфор (керамика), пластмассы (композитные материалы), материалы на основе стекла (ситаллы) и некоторые другие. Некоторые материалы постепенно уходят в прошлое, а некоторые продолжают использоваться и даже развиваются. Так, наиболее близкими по физическим и эстетическим свойствам раньше были вкладки из фарфора и эта технология продолжает развиваться. Но сегодня появилась реальная конкуренция в виде композитных материалов, которые представляют собой полимерную основу, заполненную веществами, придающими зубу заданные свойства.
Когда можно использовать зубную вкладку:
Зубные вкладки – это протезы для восстановления анатомической формы коронки зуба, пораженной кариесом, гипоплазией (недоразвитием) зубных тканей, травмой зуба, клиновидным дефектом и другой патологией зуба.
Зубные вкладки являются наилучшим способом пломбирования большой полости.
Вкладки используются при установке коронок.
Зубные вкладки могут применяться как элемент опоры для мостовидного протеза.
Встречные вкладки (на противопоставленных зубах) применяются для предупреждения дальнейшего стирания тканей чувствительных зубов.
Вкладки могут комбинироваться с корневыми штифтами (корневыми протезами) для восстановления сильно разрушенного зуба.
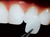
Виниры – удивительное изобретение в области стоматологии: они обладают великолепным видом и, в то же время, великолепными рабочими качествами. Они представляют собой превосходный наряд, фрак для зубов, выполняющий множество полезных функций. Но что же такое винир? В буквальном переводе veneer – это облицовка, маскировка, защитное покрытие. В стоматологии винир - это тонкая керамическая (фарфоровая) мантия, плотно облегающая зуб. Благодаря малой толщине (0,3-0,5 мм), виниры полупрозрачны и потому создают игру света, характерную как для тончайших чашек из старинного фарфора, так и для эмали молодых здоровых зубов. Фарфоровая накладка на зуб сама по себе обладает прекрасной твердостью, сравнимой с естественной твердостью здорового зуба. При этом можно совершенно не опасаться того, что тонкий материал винира окажется слишком хрупким и недолговечным. Напротив, зуб и винир создают идеальную пару, обладающую значительно большей прочностью, чем каждый в отдельности. Достаточно посмотреть на зубы до и после установки виниров, чтобы избавиться от необходимости в их рекламе.

- Восстановить врожденные и приобретенные дефекты эмали зубов;
- Флюорозные пятна;
- «тетрациклиновые» зубы;
- Зубы, потемневшие в результате травмы или лечения корневых каналов старыми методами;
- Исправить образовавшиеся на зубах сколы;
- Исправить неправильную форму зуба;
- Восстановить установленные, но потерявшие цвет старые пломбы;
- Исправить наличие между зубами промежутков (диастема, трема).
С помощью виниров можно:
К микропротезам относится также адгезивный протез - искусственный зуб в области удаленного, с использованием в качестве опоры вкладки или накладки на соседних зубах. При этом возможен полный отказ от обтачивания соседних здоровых зубов для установления искусственного.
При помощи микропротезов можно изменить цвет, форму, размер зуба, а также создать видимость того, что зуб изменил свою позицию. Благодаря этому микропротезирование активно используется в эстетической стоматологии.
4. Комбинированное протезирование.
Комбинированное протезирование — протезирование ортопедическими изделиями, состоящими из элементов частей съёмного и несъёмного протезирования.
О возможных противопоказаниях необходимо проконсультироваться у специалиста.