стоматологическая клиника
МЕДИДЕНТ
8 (3473) 20 30 55
Мы работаем:
с 09:00 до 19:00
подробнее:




респ. Башкортостан
г. Стерлитамак
ул. Худайбердина 134
Стоматологическая клиника ООО "Медидент"
453121 республика Башкортостан г. Стерлитамак
ул. Худайбердина 134 тел: 8 (3473) 20 30 55

Доктора нашей клиники всегда с особой тщательностью подходят к лечению и пломбированию каналов, осуществляя контрольную диагностику зуба и пломбируют зуб так, чтобы Вы смогли радоваться своей улыбки и не вспоминать о боли еще долгое время!
Лечение периодонтита.
Как лечить?
В первую очередь, необходимо с помощью механической обработки очистить корневые каналы от инфицированных тканей (погибшего нерва). Если каналы зуба уже подвергались пломбированию, то необходимо извлечь весь пломбировочный материал (распломбирование каналов). Очищенные каналы расширяют, чтобы удалить кариозный слой на стенках канала, дезинфицируют и, по мере необходимости, вводят лекарственные средства. Обычно лекарственный препарат оставляют на несколько дней, чтобы погубить микробов во всех ответвлениях корневого канала. При необходимости назначают антибиотикотерапию.
Далее проводят внутриканальную ультразвуковую терапию.
В нашей клинике обработка корневых каналов проводится с помощью специального эндодонтического мотора и системой вращающихся никель-титановых инструментов, позволяющих наиболее тщательно обработать канал для последующего качественного пломбирования.

После того, как воспаление в периодонте локализовано, каналы тщательно пломбируются.

Если у пациента наблюдаются глубокие пародонтальные карманы и есть вероятность остатков инфекций в них, проводится соответствующее пародонтологическое лечение.
Пломбирование каналов завершает процесс лечения периодонтита.  И это одна из главных процедур, влияющая на качество вылеченного зуба. При недостаточном пломбировании каналов, через пару месяцев (а может и несколько лет), инфекция, оставленная в незначительных количествах может привести к удалению зуба.

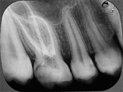
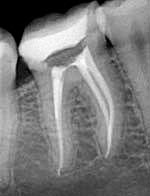
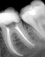
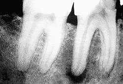
Рентгенологические снимки хорошо запломбированных корневых каналов.
Периодонт – это плотная соединительная ткань, окружающая корень зуба. Когда течение кариеса осложняется воспалением пульпы, т.е. нерва зуба (пульпит) и инфекция переходит дальше на верхушку корня зуба, возникает периодонтит (не путаем с пародонтитом, который является заболеванием околозубных тканей).  
В зависимости  от  того, что явилось причиной воспаления, выделяют три основных типа периодонтита: инфекционный (заражение через воспаление нерва или ткани пародонта), травматический (вследствие травмы, ушиба при падении, неправильно изготовленных ортопедических конструкций и пломб) и медикаментозный  (вследствие устаревших методик лечения пульпита с использованием сильнодействующих препаратов на основе мышьяка, формалина, фенола или их производных).
О возможных противопоказаниях необходимо проконсультироваться у специалиста.