стоматологическая клиника
МЕДИДЕНТ
8 (3473) 20 30 55
Мы работаем:
с 09:00 до 19:00
подробнее:




респ. Башкортостан
г. Стерлитамак
ул. Худайбердина 134
Стоматологическая клиника ООО "Медидент"
453121 республика Башкортостан г. Стерлитамак
ул. Худайбердина 134 тел: 8 (3473) 20 30 55

Только своевременное обращение к стоматологу позволит Вам избежать серьезного заболевания и больших затрат на его лечение.
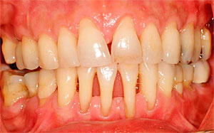
Пародонтоз.
Можно заподозрить пародонтоз, если у Вас:
1. Бледное окрашивание десен, отсутствие признаков воспаления при наличии небольшого количества твердых зубных отложений;
2. Рецессия десны с обнажением шейки зуба, а затем и корня зуба, это выглядит как
«удлинение»  зуба;
3. Отсутствуют кровоточивость десен, подвижность зубов;
4. Определяются такие поражения зубов  некариозного типа, как эрозия эмали, стираемость  зуба, клиновидный дефект;
5. Имеются заболевания сердечно-сосудистой системы, эндокринные и обменные нарушения.
Пародонтоз – это заболевание дистрофического характера, которое поражает ткани, окружающие зуб. Это значит, что при пародонтозе происходит нарушение питания костной ткани челюсти и тканей периодонта, что влечет за собой задержку обновления и уменьшение кровоснабжения десны, нарушение минерального обмена.

Насчитывается множество факторов, способствующих возникновению и развитию заболевания. Среди них такие, как сахарный диабет, атеросклероз, гипертония, неправильный прикус, аномалия положения зубов, вегето-сосудистая дистония; определенную роль играют наследственный и микробный факторы.

Пародонтоз встречается нечасто (примерно 5-10% случаев).

Пародонтоз не вызывает болевых ощущений, поэтому пациенты, как правило, не обращаются к врачу. В более поздних стадиях пародонтоз может осложниться воспалением десны и перейти в  пародонтит. Заболевание развивается медленно, долгое время не проявляя себя. Пациенты отмечают дискомфорт в десне, чувство зуда, но чаще всего обращаются к стоматологу в связи с повышенной чувствительностью тканей зуба.
Подвижность зубов появляется только при тяжелой степени пародонтоза, когда отмечается обнажение корня на 1/2 и больше.


Лечение пародонтоза является комплексным.

Основные его задачи – это: замедление дальнейшего прогрессирования процесса и предотвращение развития осложнений. Кроме стоматологов-терапевтов привлекаются хирурги, ортопеды и ортодонты.
В состав терапевтического лечения входят: устранение различных поражений твердых тканей зубов, улучшение кровоснабжения тканей пародонта и обменных процессов в нем. Если причиной пародонтоза является неправильный прикус или дефект зубных протезов, то пациент направляется соответственно на лечение к ортодонту  или к ортопеду. При наличии короткой уздечки языка и губ, неглубокого преддверия полости рта (пространство между зубами и губами), выраженной рецессии десны проводится хирургическая операция. Именно такой комплексный подход позволяет достичь длительной ремиссии.
О возможных противопоказаниях необходимо проконсультироваться у специалиста.